
所谓:「望子成龙、望女成凤」,父母对于孩子的成长总是充满期待,但却无法尽如人意。以往担心小朋友营养不良长不高,现在却担心会提早发育导致长不高。专家说:定期追踪孩子骨骼年龄,早期发现问题及早治疗,就不必担忧。
生理年龄、骨骼年龄之差异
医学上,儿童有两种年龄计算方式,一种是生理年龄 (Chronological age),一种是骨骼年龄 (Skeletal age or bone age)。
生理年龄:由出生日算起之实际年龄。
骨骼年龄:反映骨骼成熟度的人工评估年龄。
评估骨骼年龄的基础是根据身体在发育过程之中,各个骨化中心 (ossification center) 会有一定的出现次序和成熟时间 ,因此骨骼年龄代表的是在某个时间点上骨骼成熟阶段的平均值。
专家指出,儿童身体在发育过程中,各个骨化中心都会经过相似的阶段过程,包括出现、发育及成熟阶段。相同生理年龄的儿童可能会有截然不同的骨骼年龄,而骨骼年龄会影响到青春期出现的早晚及最后的身高表现。
预防性早熟,骨龄评估很重要
相对于生理年龄、身高、体重,骨骼年龄是种反应身体发育成熟阶段上较可靠的指标。每个儿童的骨骼成熟过程,都会有自己特殊的节奏,是根据各人不同状态而有所不同。影响因素有三:
先天因素:子宫内发育过程、母亲之营养疾病、环境之污染。
遗传因素:人种、基因、性别。
后天因素:饮食、运动、睡眠、内分泌、药物、疾病、环境荷尔蒙。
近年来,儿童肥胖问题日益严重,使得儿童性早熟逐年上升。「这些小儿内分泌问题的发生,与遗传、环境及生活方式脱不了干系,若不及时治疗恐对孩子未来带来许多不良影响。」
许多家长对于小孩的身高特别在意,希望能早点知道小孩到底可以长多高。他说,人的身高增长关键在于骨头成长的情形及生长板 (growth plate) 是否已经愈合。一旦生长板愈合表示骨骼成长结束,将不容易再长高。
检测骨龄怎么做?如何评估?
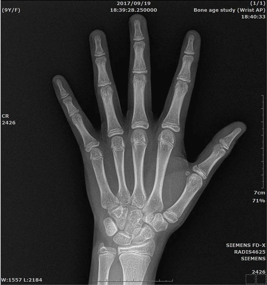
目前最被普遍使用的方法是左手 X 光照射的骨龄评估,以手掌 X 光片评估骨龄的方法有几个好处,因为手掌骨节多,相对的骨化中心也多,较容易比较出不同阶段的骨骼发育。
之所以选择左手,是因为惯用右手的人多,相对地右手也较容易受伤,因此评估左手比右手来的稳定可靠。另外,左手 X 光照射远离身体重要器官,其辐射剂量对身体器官影响极小。
骨龄摄影检查前应去除手上饰品,以免干扰指骨成像。,虽然 X 光暴露成像时间仅仅數秒钟,如果孩子无法好好配合,不仅检查时间延长,还可能因此需要重复照射,家长应协助陪同安抚小朋友接受检查。
骨龄 X 光片正确照法
左手 X 光照射的骨龄评估,很重要的是 X 光片的正确拍摄及清晰度,正确照法必须注意下列事项:
左手面向下,平放在片夹上,指头外展,由手背向手掌方向照射。
中指方向应保持与前臂之方向相同,成一直线。
手指自然平放,不必紧压片夹,拇指自然外展约 30 度角。
X 光照射管中心点,应对准中指第三指节之节结末端,约在手背正中心。
X 光照射管应垂直片夹照射,与片夹之距离 76 公分。
X 光之设定在 45~60 kVp,依年龄略调整。
X 光照射范围,包含桡骨与尺骨手腕侧 3~4 公分即足够,不必太多。
骨龄判读方法
第一种 Greulich-Pyle 图谱判读 (GP)
其方法是用左手张开由手背向手心正照之 X 光片和标准之骨龄图谱做比较。主要比对各骨逅出现之时间及生长盘和钙化骨头的形状变化,以最近似之标准骨龄图谱做出骨龄判读。
此方法的缺点是主观性强,正确的判读需要经验的累积及临床病人生长发育资料之印证,没经验者不易做出正确判读。虽说如此,用来预估青春期出现时间及推测最终身高的准确性还不错,目前全世界仍以此法为主流。
第二种 Tanner and Whitehouse
以计分法在 1962~2001 年间发展的骨龄判读方法,由手掌 30 块骨头选出 20 块,每个骨头之发育个别定义出 8 至 9 个阶段,分别给予不同之计分,分数加总对应到统计图表可以算出骨龄。优点是明确定义每个骨头之发育阶段。
骨龄评估区分 6 时期,关注重点都不同
临床医师骨龄评估关注重点大致区分为六个时期:
婴儿期:女性从出生到 10 个月,男性从出生到 14 个月,以评估腕骨及桡骨骺为主。
幼儿期:女性从 10 个月到 2 岁,男性从 14 个月到 3 岁,主要看手部长骨骨骺板的數目。
青春期前期:女性从 2 岁到 7 岁,男性从 3 岁到 9 岁,主要评估指骨骨骺板的大小,未完全成型的尺骨、桡骨骨骺板。
青春期早期与中期:女性从 7 岁到 13 岁,男性从 9 岁到 14 岁,主要评估远端指骨 (第一) 和中间指骨 (第二) 指骨骨骺板的大小,在姆指骨与第一掌骨间的芝麻骨 (sesamoid) 是这个时期的重要參考点。
青春期晚期:女性从 13 岁到 15 岁;男性从 14 岁到 16 岁,主要评估骨骺板与骨骼结合的程度。
青春期后:女性从 15 岁到 17 岁;男性从 16 岁到 19 岁,以评估尺骨桡骨与其骨骺板结合程度为主。
专家表示:「当骨龄符合实际生理年龄时即为正常发育,当骨龄与生理年龄差異较大时,可判定为早熟或者晚熟,进一步分析造成異常的原因。」
骨龄的異常多半与内分泌有关,专业的儿童内分泌科医师会根据孩子的年龄、身高、体重、身体质量指数 (BMI)、营养状态、潜在疾病、青春期发育的成熟度,综合判断骨龄是否符合整体表现,提供最适切的建议与治疗。